Photograph of a digital dental scanner scanning a mouth mold.

Our Services

We are predominantly a Crown & Bridge laboratory with the majority of our work being implant related.

HexScan digital CAD example.
HexScan®

Digital

HexScan®


*HexScan® is the ultimate digital solution to hybrid milled frameworks on Pekkton®.

HexScan® is a patent pending unique pillar design for hybrid milled frameworks that will give the patient and clinician peace of mind that their framework has been manufactured to a controlled standard.

This technique is a breakthrough in CAD development and allows predictable results when milling high performance polymers like Pekkton® this lends itself to a more cost effective solution.

Pekkton® is a product new to the Dental world but has been used for more than fifteen years in a slightly modified form in the rest of the body. The excellent physical chemical properties allow for a material that is superior to any other peek material. Pekkton® has similar traits to bone which makes for a winning choice of material on hybrids. We are very excited to offer Pekkton® and HexScan® at Analog Implant Laboratory.

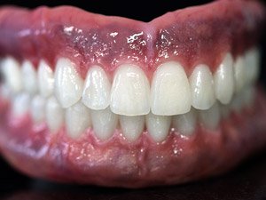
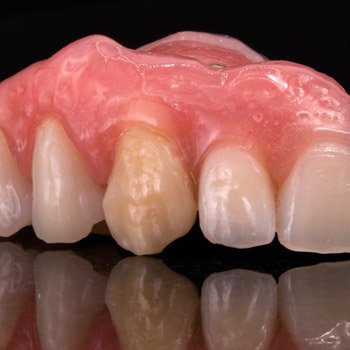
Hybrids are very popular with most of our clients. Have a look at one of our combination hybrids below.

Hybrid example

Hybrid example

e.max crowns on a Pekkton frame with pink Anaxgum.
e.max crowns on a Pekkton® frame with Anaxgum (pink)

Implantology

We are fully conversant with most major implant systems: including Straumann®, Zimmer Biomet 3i, Nobel, Frialit®-2, XiVe®, IMZ®, Southern, Dentsply Ankylos® and Astra. We work closely with many general practitioners, specialists, oral surgeons and consultants.

Our excellence in service and workmanship has lead us to become a Friadent® recognised laboratory and a platinum registered Straumann® Laboratory over the years. Our implant team undergoes extensive quality control using the latest techniques and equipment. This keeps us abreast of the latest developments. We are capable of restoring anything from single unit cases to full mouth reconstructions. It is important to note though that team work gets results meeting all expectations. We are members of the DLA and the ADI.

We do not underestimate the importance of diagnostics and treatment planning. This is an important factor that will directly influence the outcome of your case. We encourage a team approach to this and will contribute our technical knowledge should you require it.

Implantology examples

Implantology examples


Dental Addition Veneer.
Addition Veneer

Crown & Bridge

We are predominantly a Crown & Bridge laboratory with the majority of our work being implant related. We specialise exclusively in private restorations, incorporating optimum quality and individual character.

As far as possible we produce all our restorations in-house with exception to the milling for our CAD/CAM department. Most frameworks are designed in-house and we outsource our milling. We strive to offer quality appliances without compromise. Quality is paramount and all our restorations are constructed in the highest quality materials that are constantly reviewed and researched.

All restorations undergo rigorous quality control procedures before leaving the laboratory. We are fully conversant in all precision attachment and milling techniques.

Crown & Bridge example

Crown & Bridge example


Modified denture teeth on PMMA base.
Modified denture teeth on PMMA base

Prosthetics

We have gained an excellent reputation in the private sector and keep abreast of new innovations such as fibre reinforced dentures with gingival characterisation in acrylic & composite. We are extensively trained in working with high performance polymers, pressing or milling. Our material of choice is Pekkton®.

We have used all of these in various combinations in overdentures incorporating milled bars and various attachments. The Locator®, CM Loc® and Rhein-83® attachments are amongst our favourites. Our all-time favourite restoration being the hybrids.

Prosthetics example

Prosthetics example


Get in touch

To discuss further the services we offer and how we may help you, please don't hesitate to get in touch.


Products and services terms and conditions

*HexScan® is a patent pending unique pillar design for hybrid milled frameworks that will give the patient and clinician peace of mind that their framework has been manufactured to a controlled standard.